Volume 9, Issue 2 (Journal of Clinical and Basic Research (JCBR) 2025)                   jcbr 2025, 9(2): 17-20 | Back to browse issues page


XML Print


Download citation:
BibTeX | RIS | EndNote | Medlars | ProCite | Reference Manager | RefWorks
Send citation to:

Tabassum M, Nazeer S, Hariharan I, Hussaini S A B, Karamchedu S, Sultana S et al . Concordance between fine needle aspiration cytology and frozen section with histopathology diagnosis of thyroid lesions. jcbr 2025; 9 (2) :17-20
URL: http://jcbr.goums.ac.ir/article-1-484-en.html
1- Department of Pathology, SVS Medical College and Hospital, Yenugonda, Mahabubnagar, Telengana, India
2- Department of Pathology, Government Medical College, Suryapet, Telengana, India
3- Department of Pathology, Apollo Institute of Medical Science and Research, Jubilee Hills, Hyderabad, Telengana, India
4- Consultant Pathologist, S.N Diagnostic Centre, Kalaburagi, Karnataka, India , s.alibaqher@gmail.com
Full-Text [PDF 465 kb]   (288 Downloads)     |   Abstract (HTML)  (1083 Views)
Full-Text:   (169 Views)
Introduction
Thyroid lesions are common in the general population and account for a significant proportion of endocrine referrals. Thyroid diseases are characterized by changes in hormone secretion (Hypo- or hyperthyroidism) and thyroid enlargement, as well as a wide range of developmental, inflammatory, hyperplastic, and neoplastic disorders that are becoming increasingly common in clinical practice.
Thyroid lesions affect 12% of persons in South India, with women outnumbering men (1). Thyroid nodules are seen in 3–7% of the general population (2). Only 5% of thyroid nodules identified in the United States have been verified to be malignant. Fine needle aspiration cytology (FNAC) is used to diagnose worrisome thyroid nodules prior to surgery. Intraoperative frozen section (FS) is mainly used during unilateral lobectomy and for patients with suspicious thyroid nodules (3). Despite meticulous documentation of FNAC and FS samples, there are a large number of discrepancies between final histopathology results, resulting in needless thyroidectomies (4).
Histopathology can detect tumor characteristics necessary for thyroid cancer staging (5). FS aids in speedy intraoperative diagnosis. William Welch (6) employed it clinically for the first time at Johns Hopkins Hospital in 1891. It is performed during surgical operations to diagnose malignancy, evaluate surgical margins, detect lymph node metastases, and identify unknown disease conditions (7).
FNAC is the most cost-effective, safe, and early diagnostic procedure for thyroid lesions in the preoperative setting. An adequate thyroid aspirate is required for the interpretation of FNAC. However, numerous investigations have found that the unsatisfactory aspirate rate in thyroid lesions ranges between 2 and 15%. The assessment of FNAC sensitivity and specificity is determined by the method used to examine follicular proliferation. In 15-30% of instances, thyroid lesions are classified as unusual or suggestive of malignancy, posing a diagnostic problem for cytologists (8).
Conclusive surgical biopsies reinforced by clinical data and radiographic evidence are the most conventional form of diagnosis in the current setting, where recent ancillary methods are not available. Histopathological investigations can forecast the prognosis and assist in determining the diagnosis as well as the course of treatment.
The intraoperative frozen section diagnosis is essential to the appropriate management of the patient, even though histological diagnosis is the gold standard. The surgeon who plans to perform more extensive surgery than local excision or lobectomy for primary cancer of the thyroid gland has benefited greatly from the intraoperative pathologic assessment and diagnosis of thyroid nodules (9).
Accordingly, it has been observed that 2-15% of all FSs carried out in a hospital setting are thyroid tissues (10). Intraoperative FS biopsies are frequently used by surgeons to guide the extent of thyroidectomy and confirm the diagnosis of FNA cytology. FSs and FNA cytology are, nevertheless, somewhat linked to false-negative and false-positive diagnoses. However, investigations comparing FS diagnosis to FNAC and histological diagnosis are scarce.
Aim
  1. To compare the results of FS with FNAC and histopathology in thyroid lesions.
  2. To assess the diagnostic accuracy of FS in thyroid lesions.

Methods
A hospital-based retrospective study collected data from 40 cases of thyroid biopsies during July 2021 to June 2023 in the Department of Pathology, SVS Medical College and Hospital, Mahabubnagar, Telangana, India.
Inclusion criteria
  • All FS samples with their permanent tissue samples available for final histopathological evaluation
  • Reports of all FNAC and FSs
  • Both male and female patients between 18 and 65 years of age
Exclusion criteria
Samples with incomplete data or missing clinical information.
Procedure
The samples sent for FS and FNAC were received from elective surgeries performed in the Department of Surgery and Otorhinolaryngology. FS samples, after submission, were immediately grossed, frozen at a temperature of -20 °C, and sectioned on a cryostat machine at 3-6 µm thickness. These sections were then stained by rapid haematoxylin and eosin. FS reports were given within 20-30 minutes after submission of the sample.
After receiving the permanent section, specimens were fixed in 10% formalin, grossed, and adequate representative sections were taken, paraffin-embedded, processed according to standard guidelines, and stained with haematoxylin and eosin.
The FS diagnoses were correlated with the final histological diagnoses to assess the accuracy of FS diagnosis.
After comparison with the final histopathological reports, all FSs were categorized into the following operational categories: sensitivity, specificity, positive predictive value (PPV), negative predictive value (NPV), and accuracy.
The FS results were analyzed for sensitivity, specificity, PPV, and NPV, taking histopathology as the gold standard method. The patient notes were retrieved and information about age, sex, FNAC, and FSs were analyzed. The comparison between FNAC, FS, and final histology was assessed. Evaluations of FS, FNAC, and final histopathology results were conducted by a single pathologist who was blinded to the clinical data of the concerned sample.
Statistical analysis
Statistical Package for the Social Sciences (SPSS) version 22 software was used to analyze the data. Frequencies and percentages were used to describe the data. Sensitivity, specificity, PPV, and NPV of FNAC and FSs were compared.

Results
The histopathology results of 40 thyroid specimens showed 35 cases of follicular adenoma (87.5%), two cases of Hashimoto’s thyroiditis (5%), one follicular carcinoma (2.5%), one medullary carcinoma (2.5%), and one papillary carcinoma (2.5%).
The incidence of thyroid disorders was higher in females than in males (72.5% vs. 27.5%). The incidence was also higher in older patients (≥ 31 years) compared to younger patients (≤ 30 years) (85% vs. 15%). Of all thyroid disorders, 35 (87.5%) were benign, with the highest incidence of follicular adenoma. Among the malignant cases, follicular carcinoma, medullary cancer, and papillary cancer each accounted for 2.5% (Table 1). The histopathology results comparing FNAC and FS in patients with benign and malignant swellings showed variable frequencies (Table 2).
In our study, the sensitivity of FS was 68% compared to 66.1% for FNAC. The specificities were 89.1% and 78.9%, respectively. PPV and NPV for FS were 74% and 84.4%, respectively. FNAC demonstrated a PPV of 67.8% and an NPV of 75.6% (Table 3, Figure 1).

Table 1. Basic characteristics and types

Table 2. Comparison of FNAC vs. frozen section in benign and malignant swellings

Table 3. Diagnostic performance of FNAC and frozen section vs. histopathology



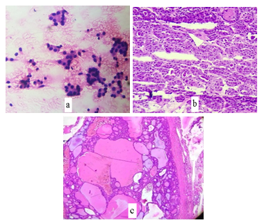
Figure 1. a. FNAC of thyroid. b. Frozen section of thyroid. c. Biopsy of thyroid

Discussion
The global prevalence of thyroid nodules has increased significantly in recent years. Autopsy investigations reveal that the prevalence of thyroid nodules in clinically normal individuals is 50% (11). Non-palpable incidental nodules carry the same risk of cancer as palpable nodules of equal size (12).
FNAC is the primary diagnostic tool for thyroid nodules. The preoperative detection of cancer has improved significantly. According to research, 56% of patients with abnormal cytology had cancer in histological investigations, up from 10-45% previously. Indeterminate aspirates are now surgically treated for both diagnostic and therapeutic purposes. However, thyroid surgery has a complication rate of 2-10%, which has cost implications (13,14). Clinically suspect nodules with suspicious FNAC results received an intraoperative FS biopsy. FS aids in the intraoperative identification of suspicious thyroid nodules and can spare patients from reoperation if malignancy is confirmed.
If malignancy is detected by FS, total thyroidectomy can be performed during the same operation. FS results can help surgeons avoid unnecessary thyroid gland resections by ruling out malignancy more accurately than FNAC.
FSs may detect malignancy in more cases and be more accurate in identifying the specific type of malignancy compared to FNAC (15).
Our study found that the sensitivity, specificity, PPV, NPV, and accuracy of FS were 68%, 89.1%, 74%, 84.4%, and 78.8%, respectively. For FNAC, the values were 66.1%, 78.9%, 67.8%, 75.6%, and 74.1%, respectively. These results are consistent with previous studies, which reported FS accuracy ranging from 91.5% to 97.4% (7,16).
The cost-effectiveness of FS in thyroid lesions has been debated due to increased operative time, with no clear consensus (17). Most surgeons perform FSs in thyroid lesions to confirm the diagnosis of neoplasia already suggested by FNAC (18). A U.S.-based study reported sensitivity and specificity for FS of 76.9% and 67.9%, respectively, with PPV and NPV of 27.8% and 94.8% (19).
When FNAC correctly diagnosed benign lesions, most were colloid or adenomatous nodules.
FNAC remains a valuable technique for screening malignancy, with sensitivity comparable to FS, while FS is more specific for confirming malignancy.
Thyroid cancer staging requires the identification of tumour characteristics, which histopathology can reliably assess. It also provides information about lymph node involvement and confirms tumour subtype.
FNAC has limitations, such as dependence on sample quality, the experience of the pathologist, and the need for repeated aspirations from different sites.
The diagnostic accuracy of FS in our study was comparable to that reported in the literature. Diagnostic errors were mainly due to sampling and interpretation issues. We believe that focusing on detecting malignancy (Rather than subtyping it) can reduce errors in FS interpretation.
A major limitation of our study is the small sample size. Larger studies are needed to better compare FNAC and frozen section accuracy in thyroid lesions.

Conclusion
Our study concludes that the accuracy and specificity of FS were higher compared to FNAC. However, these results from a small sample size may not be generalizable to other settings. Further studies are needed to validate these findings with larger sample sizes.
Nonetheless, our study shows that FS is a very useful and accurate procedure that can greatly aid in the proper management of patients, provided that gross specimen inspection is thorough, lesion sampling is appropriate, interpretational pitfalls are avoided, and communication with the surgical team is strong.

Acknowledgement
None.

Funding sources
No funding was received.

Ethical statement
This study was approved by the Ethics Committee of SVS Medical College (Approval code: SVS/IEC/2023/Path).

Conflicts of interest
The authors declare no conflicts of interest.

Author contributions
MT, SZ, IH, SAB, SS, and BS collected data. IH and SK designed the protocol and conceptualized the study. All authors revised and analyzed the data. All authors contributed to drafting the manuscript. The final version was reviewed and approved by all authors.

Data availability statement
Data is available upon request from the corresponding author.
Article Type: Research | Subject: Basic medical sciences

References
1. Singh SK, Singh R, Singh SK, Pandey AK, Jaiswal S, Rai PK. Thyroid dysfunction in India: What is different. Int J Adv Med. 2024;11:286-90. [View at Publisher] [DOI] [Google Scholar]
2. Grani G, Sponziello M, Filetti S, Durante C. Thyroid nodules: diagnosis and management. Nat Rev Endocrinol. 2024;20(12):715-28. [View at Publisher] [DOI] [PMID] [Google Scholar]
3. Tarigan TJE, Anwar BS, Sinto R, Wisnu W. Diagnostic accuracy of palpation versus ultrasound-guided fine needle aspiration biopsy for diagnosis of malignancy in thyroid nodules: a systematic review and meta-analysis. BMC Endocr Disord. 2022;22(1):181. [View at Publisher] [DOI] [PMID] [Google Scholar]
4. Mayooran N, Waters PS, Kaim Khani TY, Kerin MJ, Quill D. FNAC and frozen section correlations with definitive histology in thyroid diseases. Eur Arch Otorhinolaryngol. 2016;273(8):2181-4. [View at Publisher] [DOI] [PMID] [Google Scholar]
5. Nikiforov YE, Biddinger PW, Thomoson LD. Thyroid tumors: classification, staging, and general considerations. Diagnostic pathology and molecular genetics of the thyroid, 2nd edn. Philadelphia: Wolters Kluwer/Lippincott Williams and Wilkins. 2012:108-9. [View at Publisher] [Google Scholar]
6. Welch WH. 102 [No. 82. JOHNS HOPKINS UNIVERSITY CIRCULARS. The Johns Hopkins University Circular. 1891;9(76-91). [View at Publisher] [Google Scholar]
7. Goemann IM, Paixão F, Migliavacca A, Guimarães JR, Scheffel RS, Maia AL. Intraoperative frozen section performance for thyroid cancer diagnosis. Arch Endocrinol Metab. 2022;66(1):50-7. [View at Publisher] [DOI] [PMID] [Google Scholar]
8. Cross P, Chandra A, Giles T, Johnson S, Kocjan G, Poller D, et al. Guidance on the reporting of thyroid cytology specimens. London: Royal College of Pathologists. 2016:18-9. [View at Publisher] [Google Scholar]
9. Abudukadeer A, Azam S, Zunong B, Mutailipu AZ, Huijun B, Qun L. Accuracy of intra-operative frozen section and its role in the diagnostic evaluation of ovarian tumors. Eur J Gynaecol Oncol. 2016;37(2):216-0. [View at Publisher] [DOI] [PMID] [Google Scholar]
10. Guevara N, Lassalle S, Benaim G, Sadoul JL, Santini J, Hofman P. Role of frozen section analysis in nodular thyroid pathology.Eur Ann Otorhinolaryngol Head Neck Dis. 2015;132(2):67-70. [View at Publisher] [DOI] [PMID] [Google Scholar]
11. Gharib H, Papini E, Garber JR, Duick DS, Harrell RM, Hegedus L, et al. American association of clinical endocrinologists, American college of endocrinology, and Associazione Medici Endocrinologi medical guidelines for clinical practice for the diagnosis and management of thyroid nodules-2016 update appendix. Endocrine practice. 2016;22:1-60. [View at Publisher] [DOI] [PMID] [Google Scholar]
12. Li Z, Liu W, Xu X, Li P. A meta-analysis comparing endoscopic ultrasound-guided fine-needle aspiration with endoscopic ultrasound-guided fine-needle biopsy. J Clin Gastroenterol. 2022;56(8):668-78. [View at Publisher] [DOI] [PMID] [Google Scholar]
13. Alexander EK, Kennedy GC, Baloch ZW, Cibas ES, Chudova D, Diggans J, et al. Preoperative diagnosis of benign thyroid nodules with indeterminate cytology. N Engl J Med. 2012;367(8):705-15. [View at Publisher] [DOI] [PMID] [Google Scholar]
14. You JY, Kim H, Park DW, Yang HW, Dionigi G, Tufano RP. Prevention of transoral thyroidectomy complications: an analysis of surgical outcomes in 423 consecutive series. Surgery. 2021;170(4):1155-9. [View at Publisher] [DOI] [PMID] [Google Scholar]
15. Sharma AD, Ojha K, Navya BN. Diagnostic utility of fine-needle aspiration cytology (FNAC) and frozen section against histopathology in evaluating benign and malignant breast lesions. Cureus. 2024;16(1)):e53108. [View at Publisher] [DOI] [PubMed] [Google Scholar]
16. Grisales J, Sanabria A. Utility of routine frozen section of thyroid nodules classified as follicular neoplasm: meta-analysis of diagnostic tests. Am J Clin Pathol. 2020;153(2):210-20. [View at Publisher] [DOI] [PMID] [Google Scholar]
17. He T, Shi S, Liu Y, Zhu L, Wei Y, Zhang F, et al. Pathology diagnosis of intraoperative frozen thyroid lesions assisted by deep learning. BMC cancer. 2024;24(1):1069. [View at Publisher] [DOI] [PMID] [Google Scholar]
18. Hiramitsu T, Hasegawa Y, Futamura K, Okada M, Goto N, Narumi S, et al. Intraoperative intact parathyroid hormone monitoring and frozen section diagnosis are essential for successful parathyroidectomy in secondary hyperparathyroidism.Front Med (Lausanne). 2022;9:1007887. [View at Publisher] [DOI] [PMID] [Google Scholar]
19. Kahmke R, Lee WT, Puscas L, Scher RL, Shealy MJ, Burch WM,et al. Utility of intraoperative frozen sections during thyroid surgery. Int J Otolaryngol. 2013;2013(1):496138. [View at Publisher] [DOI] [PMID] [Google Scholar]

Add your comments about this article : Your username or Email:
CAPTCHA

Send email to the article author


Rights and permissions
Creative Commons License This work is licensed under a Creative Commons Attribution-NonCommercial 4.0 International License.